منوعات

 علاج مركب يخفض خطر الوفاة بسرطان البروستات المتقدم

شام تايمز- متابعة توصل باحثون أمريكيون إلى علاج مركب يخفض خطر الوفاة بسرطان البروستات المتقدم بنسبة تزيد على 40%،وفقاً لموقع “ميديكال اكسبرس” الأمريكي. وأوضح باحثون …

أكمل القراءة »

باحث صيني يوظف الذكاء الاصطناعي لتسهيل التواصل ودعم ذوي الإعاقة

شام تايمز- متابعة نجح الباحث الصيني “سو جيونجلونج” بتوظيف تقنيات الذكاء الاصطناعي لخدمة المجتمع والتخفيف من معاناة ذوي الإعاقة، من خلال مشاريع تركّز على الدمج …

أكمل القراءة »

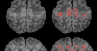
فريق علمي يطور “التوائم الرقمية المعرفية” للتنبؤ بالصحة العقلية والجسدية

شام تايمز- متابعة تمكّن فريق علمي من جامعتي ديوك “Duke University” وكولومبيا “Columbia University” الأمريكيتين، بالتعاون مع جامعة نبريخا “Universidad Nebrija” الإسبانية وشركة “CogniFit” الرائدة …

أكمل القراءة »

كيف يؤثر تلوث الهواء على نمو دماغ الطفل؟

شام تايمز- متابعة كشفت دراسة علمية حديثة عن وجود ارتباط مقلق بين تعرض النساء الحوامل لتلوث الهواء وتباطؤ نمو الدماغ لدى الأطفال حديثي الولادة، وفقاً …

أكمل القراءة »

غوغل تختبر ميزة جديدة لتوليد الصور داخل تطبيق الرسائل

شام تايمز – متابعة تستعد شركة غوغل لإضافة ميزة جديدة مدعومة بالذكاء الاصطناعي إلى تطبيق الرسائل، عبر دمج نموذجها المتطور لتوليد الصور المعروف باسم “نانو …

أكمل القراءة »

وفاة عالم فيزياء صيني حائز جائزة نوبل عن عمر 103 أعوام

شام تايمز – متابعة توفي عالم الفيزياء الصيني الشهير تشن نينغ يانغ الحائز جائزة نوبل والأكاديمي في الأكاديمية الصينية للعلوم اليوم في بكين عن عمر …

أكمل القراءة »

الصين تطلق صاروخاً وعلى متنه ثلاثة أقمار صناعية

شام تايمز – متابعة أطلقت الصين اليوم، الصاروخ الحامل من طراز “ليجيان-1 واي 8″، حاملاً على متنه ثلاثة أقمار صناعية، وفقاً لوكالة “شينخوا”. وأطلق الصاروخ …

أكمل القراءة »

باحثون صينيون يصممون روبوتاً صغيراً للعلاج الدقيق

شام تايمز- متابعة طوّر باحثون صينيون روبوتاً دقيقاً ثلاثي الأبعاد على شكل يد يبلغ قطره 40 مليمتراً لتحقيق حركات دقيقة مثل إمساك وتوصيل وإطلاق الجسيمات …

أكمل القراءة »

النمسا تقترب من الاكتفاء الكهربائي المتجدد بشكل كامل بحلول 2030

شام تايمز- متابعة حققت النمسا تقدماً كبيراً في مسار التحول نحو الطاقة النظيفة، عقب ارتفاع حصة الكهرباء المولدة من مصادر الطاقة المتجددة إلى 94% من …

أكمل القراءة »

الأمم المتحدة تحذر من عواقب تغير المناخ على الفقراء حول العالم

شام تايمز- متابعة حذرت الأمم المتحدة من تفاقم معاناة ما يقرب 80% من فقراء العالم، أي نحو 900 مليون شخص بشكل مباشر بسبب التغيرات المناخية، …

أكمل القراءة »

الصين تطلق مجموعة أقمار صناعية جديدة إلى الفضاء

شام تايمز- متابعة أطلقت الصين،أمس الجمعة، مجموعة أقمار صناعية جديدة إلى الفضاء من مركز تايوان لإطلاق الأقمار في مقاطعة شانشي شمال البلاد، وفقاً لوكالة “شينخوا”. …

أكمل القراءة »

ابتكار روسي صيني يحول الإطارات المستهلكة والمطاط إلى أنابيب نانوية وهيدروجين

شام تايمز – متابعة طور فريق مشترك من العلماء الروس والصينيين نهجاً مبتكراً لإعادة تدوير الإطارات المستهلكة والمنتجات المطاطية الأخرى، وتحويلها إلى أنابيب نانوية كربونية …

أكمل القراءة »

باحثون يعثرون على قناع من العصور الوسطى في أعشاش نسور ملتحية بإسبانيا

شام تايمز – متابعة عثر باحثون في جنوب إسبانيا على قطعة جلد مطلية تعود للعصور الوسطى، تشبه قناعاً داخل أعشاش نسور ملتحية، ما يشير إلى …

أكمل القراءة »

علماء أمريكيون يبتكرون خشباً متيناً أقوى من الفولاذ وأخف وزناً

شام تايمز – متابعة طور علماء في شركة أمريكية نوعاً جديداً من الخشب يتميز بقوة مذهلة تفوق الفولاذ بعشر مرات، مع كونه أخف وزناً بست …

أكمل القراءة »

إصدار جديد من “ChatGPT” قريباً بنسخة أكثر مرونة وطبيعية في التفاعل

شام تايمز- متابعة أعلن الرئيس التنفيذي لشركة “OpenAI”، “سام ألتمان” أن الشركة تعتزم خلال الأسابيع المقبلة إطلاق نسخة جديدة من تطبيق “ChatGPT” تتميز بمرونة أكبر …

أكمل القراءة »

هل تناول الفيتامينات مع بعض الأدوية يؤثر على فعاليتها؟

شام تايمز- متابعة حذّر خبراء صحيون من تناول بعض الأدوية مع الفيتامينات المتعددة دون استشارة الطبيب، بسبب احتمالية حدوث تداخلات تؤثر على امتصاص الجسم للعناصر …

أكمل القراءة »

الشواء على نار مرتفعة يولد مركبات كيميائية تزيد خطر الإصابة بالسرطان

شام تايمز- متابعة حذر المعهد الأميركي لأبحاث السرطان في تقريره لعام 2025 من المخاطر الصحية الناجمة عن شواء الطعام على نار مرتفعة أو لهب مكشوف، …

أكمل القراءة »

يوتيوب تطلق ميزة جديدة لدعم الصحة النفسية للمراهقين

شام تايمز – متابعة أعلنت منصة “يوتيوب” عن إطلاق قسم جديد مخصص لمحتوى الصحة النفسية للمراهقين، يهدف إلى تسهيل وصول المستخدمين الذين تتراوح أعمارهم بين …

أكمل القراءة »